Ung thư vòm mũi họng là một trong những bệnh lý ác tính phổ biến ở vùng đầu cổ, đặc biệt tại các nước châu Á, trong đó có Việt Nam. Phương pháp xạ trị hiện nay là một trong những biện pháp điều trị hiệu quả giúp tiêu diệt tế bào ung thư và kiểm soát bệnh, đặc biệt khi được áp dụng từ giai đoạn sớm.
* Vai trò của xạ trị:
Xạ trị sử dụng tia năng lượng cao (như tia X hoặc proton) để tiêu diệt tế bào ung thư, ngăn chúng phát triển và lan rộng. Đối với ung thư vòm mũi họng, xạ trị thường được chỉ định trong các trường hợp:
- Xạ trị đơn thuần: Áp dụng khi bệnh ở giai đoạn sớm, khối u còn khu trú.
- Kết hợp với hóa trị: Để tăng hiệu quả điều trị trong giai đoạn tiến triển tại chỗ.
- Hỗ trợ sau phẫu thuật: Nhằm tiêu diệt tế bào ung thư còn sót lại sau phẫu thuật.
Kỹ thuật xạ trị hiện đại giúp đạt tỷ lệ chữa khỏi cao và giảm đáng kể các tác dụng phụ trên cơ thể người bệnh. Đặc biệt, ở giai đoạn phát hiện muộn, khi phẫu thuật hầu như không khả thi, xạ trị là phương pháp điều trị chính.
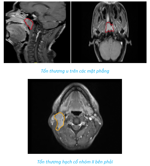
Trường hợp bệnh nhân ung thư vòm họng điều trị xã trị tại Bệnh viện Đa khoa tỉnh Ninh Bình:
Bệnh nhân 62 tuổi được chẩn đoán ung thư vòm họng cT3N2M0 vào tháng 4/2024. Các tổn thương bao gồm:
- Tổn thương u trên các mặt phẳng.
- Tổn thương hạch cổ nhóm II bên phải.
Sau khi thực hiện hóa xạ đồng thời, vào thời điểm tháng 6/2024, tổn thương đã không còn thấy trên phim cộng hưởng từ.
Quy trình điều trị xạ trị:
Bệnh nhân sẽ trải qua các bước điều trị như sau:
1. Thăm khám và chẩn đoán: Bác sĩ tiến hành kiểm tra, xác định giai đoạn bệnh và các bệnh kèm theo. Sau đó, hội chẩn sẽ đưa ra quyết định về phương pháp điều trị.
2. Lập kế hoạch xạ trị: Bác sĩ chuyên khoa sẽ chụp CT/MRI để xác định vị trí và kích thước của khối u, từ đó xây dựng phác đồ xạ trị phù hợp.
3. Đánh dấu vị trí xạ trị: Bệnh nhân sẽ được đánh dấu bằng mực hoặc xăm nhỏ để đảm bảo độ chính xác trong mỗi lần chiếu tia.
4. Thực hiện xạ trị: Mỗi đợt điều trị kéo dài khoảng 5-7 tuần, với mỗi tuần 5 ngày. Mỗi lần xạ trị chỉ kéo dài vài phút và không gây đau đớn.
.png)
.png)
.png)
Tác dụng phụ và cách khắc phục
Xạ trị có thể gây ra một số tác dụng phụ, được chia thành các tác dụng phụ sớm và muộn:
* Tác dụng phụ sớm:
- Khô miệng, viêm niêm mạc họng: Uống nhiều nước, súc miệng bằng dung dịch kiềm nhẹ.
- Mệt mỏi, chán ăn: Ăn thành nhiều bữa nhỏ, ưu tiên thực phẩm mềm, giàu dinh dưỡng.
- Thay đổi da vùng xạ trị: Tránh tiếp xúc với ánh nắng, dưỡng ẩm da bằng kem theo chỉ định của bác sĩ.
Lưu ý: Các tác dụng phụ này sẽ giảm dần sau khi kết thúc điều trị. Bệnh nhân cần tuân thủ hướng dẫn của bác sĩ để phục hồi tốt nhất.
* Tác dụng phụ muộn:
- Viêm niêm mạc mũi họng, viêm tai do tia xạ.
- Xơ hóa vùng da xạ trị, tổn thương răng và xương hàm do tia xạ.
Lời khuyên cho bệnh nhân và người nhà:
- Tâm lý vững vàng: Xạ trị là một hành trình dài và cần sự kiên nhẫn, lạc quan.
- Dinh dưỡng hợp lý: Ưu tiên thực phẩm giàu đạm, vitamin, tránh đồ cay nóng.
- Theo dõi sức khỏe: Thực hiện tái khám định kỳ để phát hiện sớm bất kỳ bất thường nào.
Mặc dù xạ trị có thể gây ra một số khó chịu, nhưng đây là "vũ khí" mạnh mẽ giúp đẩy lùi bệnh ung thư vòm mũi họng. Việc hiểu rõ phương pháp này sẽ giúp bệnh nhân tự tin hơn trong quá trình chiến đấu với căn bệnh.
Trung tâm Ung bướu