Ngày 22/04/2025, Bệnh viện Đa khoa tỉnh Ninh Bình đã thực hiện thành công một ca thủ thuật tim mạch đặc biệt – cấy máy tạo nhịp tim vĩnh viễn cho một bệnh nhân nữ tròn 100 tuổi. Đây là một trong những bệnh nhân cao tuổi nhất từng được can thiệp cấy máy tạo nhịp tại bệnh viện, đánh dấu bước tiến quan trọng trong việc mở rộng khả năng chăm sóc và điều trị cho nhóm bệnh nhân cao tuổi có bệnh lý tim mạch phức tạp.
Bệnh nhân nhập viện trong tình trạng mệt mỏi kéo dài, chóng mặt và ngất tái diễn nhiều lần, gây ảnh hưởng nghiêm trọng đến sức khỏe và chất lượng cuộc sống. Qua thăm khám và làm các xét nghiệm chuyên sâu, bệnh nhân được chẩn đoán blốc nhĩ thất cấp III – một rối loạn nhịp tim nguy hiểm cần được can thiệp kịp thời để tránh suy tim, nhồi máu não hoặc đột tử.
Ca thủ thuật đối mặt với nhiều thách thức lớn do bệnh nhân rất cao tuổi, thể trạng suy kiệt, gù vẹo cột sống nghiêm trọng, khiến việc tiếp cận mạch máu và tư thế nằm can thiệp trở nên khó khăn. Các yếu tố này làm tăng nguy cơ biến chứng, đòi hỏi ekip thực hiện phải vừa khéo léo về kỹ thuật, vừa vững vàng trong theo dõi và xử trí tình huống.
.jpg)
.jpg)

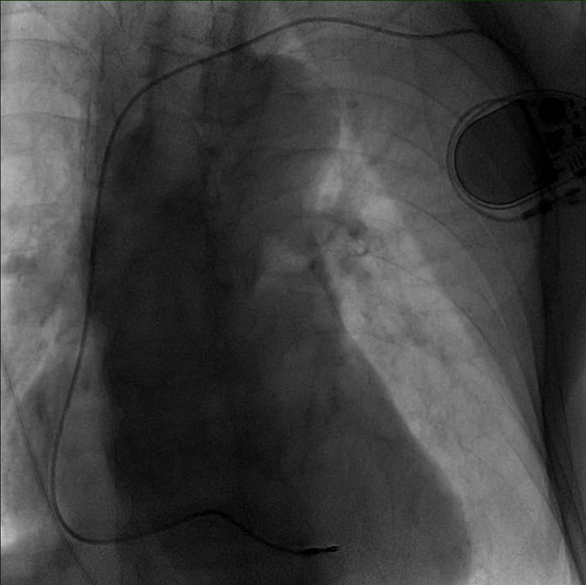
Chụp kiểm tra máy tạo nhịp trước khi kết thúc

Phương pháp chọc tĩnh mạch dưới đòn có dẫn đường bằng chụp tĩnh mạch dưới màn hình tăng sáng
Để đảm bảo an toàn tối đa, ekip đã lựa chọn phương pháp chọc tĩnh mạch dưới đòn có dẫn đường bằng chụp tĩnh mạch dưới màn tăng sáng (fluoroscopy). Đây là kỹ thuật hiện đại, cho phép định vị chính xác vị trí tĩnh mạch trong những cơ địa khó, giảm thiểu nguy cơ tổn thương mạch và các biến chứng khác. Tư thế và kỹ thuật chọc kim cũng được điều chỉnh linh hoạt để phù hợp với tình trạng gù vẹo của bệnh nhân.
Ca thủ thuật được tiến hành thuận lợi trong vòng 25 phút, dưới sự phối hợp nhịp nhàng giữa ê-kíp bác sĩ chuyên khoa tim mạch ,điều dưỡng can thiệp. Đặc biệt, không ghi nhận biến chứng nào trong và sau thủ thuật. Ngay sau khi cấy máy, nhịp tim bệnh nhân được kiểm soát tốt, các triệu chứng ngất và chóng mặt chấm dứt, và bệnh nhân hồi phục nhanh chóng.
Thành công này không chỉ thể hiện trình độ chuyên môn cao, khả năng phối hợp đa chuyên khoa và bản lĩnh xử trí linh hoạt trong các ca bệnh phức tạp, mà còn khẳng định vai trò tiên phong của Bệnh viện Đa khoa tỉnh Ninh Bình trong việc chăm sóc sức khỏe cho nhóm bệnh nhân cao tuổi – vốn là đối tượng dễ bị bỏ qua trong các can thiệp kỹ thuật cao.
Bên cạnh yếu tố chuyên môn, kết quả tích cực này còn là minh chứng cho sự tận tâm, trách nhiệm và tình người trong từng quyết định lâm sàng, đúng với phương châm “Lấy người bệnh làm trung tâm” mà Bệnh viện luôn hướng tới.
Ca bệnh không chỉ mang lại cuộc sống mới cho cụ bà đã bước sang thế kỷ thứ hai của cuộc đời, mà còn trở thành nguồn động viên to lớn cho đội ngũ y bác sĩ – tiếp tục vững vàng trên hành trình chăm sóc sức khỏe cộng đồng bằng cả trái tim và trí tuệ.
BsCKI. Lê Anh Tuấn